医讯网:33岁男子腹痛就医,竟查出篮球大肾错构瘤破裂大出血!

4次阅读
没有评论
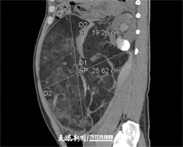
近日,因长期疏于体检,张先生突发剧烈腹痛并伴头晕心慌,被紧急送至贵州医科大学附属医院。急诊 CT 检查结果令人震惊:其左肾内长有一个体积达 27cm×25cm 的巨大错构瘤,并且已经破裂出血。

这个瘤体大小堪比一个篮球,巨大的占位已严重压迫周围脏器。更危急的是,肿瘤破裂导致大出血,患者血压持续下降、心率加快,濒临失血性休克,生命危在旦夕。

医讯网:33 岁男子腹痛就医,竟查出篮球大肾错构瘤破裂大出血!急诊 CT 显示,患者左肾巨大错构瘤已破裂出血。

“虽然肾错构瘤本身是良性肿瘤,但如此巨大的体积合并急性大出血,在临床上极为罕见。”贵州医科大学附属医院泌尿外科主任李彦锋介绍,止血、救命,刻不容缓。但手术面临两大核心挑战:首先是紧急止血,控制活动性出血以挽救生命;其次,要尽可能为患者保留左肾,这对保障其未来的生活质量至关重要。

“然而,这个巨大肿瘤已与正常的肾实质、肾血管紧密粘连,在活动性出血的情况下,术野极易模糊,保肾难度极高,手术过程犹如‘在暴风骤雨中走钢丝’。”李彦锋说。

面对这一复杂危重病例,泌尿外科团队迅速启动应急预案,一场多学科协作的生命保卫战随即打响。

麻醉团队全程精准监护,维持生命体征稳定;输血科保障血源供应;介入科在术前进行了超高选择性血管栓塞以辅助止血;肝胆、胃肠外科专家亦随时待命。在多学科专家紧密配合下,手术形成了“止血 - 分离 - 保肾”的精准操作闭环。术中,医生团队小心避开肾门区关键血管,精细地一点点剥离肿瘤组织,最大程度地保留了正常的肾实质。

经过 3 小时的紧张奋战,手术团队成功将重达 10.4 公斤的巨大错构瘤完整切除,同时保住了患者的左肾。术中出血 1500 毫升,输血 2000 毫升。术后检查显示,患者左肾血流灌注正常,肾功能指标逐步恢复,未出现出血、感染等并发症。

在重症监护室平稳度过 48 小时后,张先生顺利转回普通病房,术后第 4 天即可下床活动。目前,患者已恢复正常饮食与排便,即将康复出院,后续仅需定期复查。

李彦锋介绍,肾脏巨大错构瘤通常可行择期手术,但该患者突发瘤体破裂大出血并出现休克,必须紧急手术。在此类危急情况下,为快速止血救命,常需切除整个肾脏。但本例手术中,团队凭借高超技术,实现了切瘤与保肾的双重目标。

“此次成功的紧急多学科协作,实现了‘止血保命 + 切瘤保肾’,极大提升了患者的远期生活质量。”该院泌尿外科姜锡男副主任医师表示,此例手术不仅突破了巨大肾错构瘤合并急症出血的治疗极限,彰显了该院泌尿外科团队处置复杂危重症的强大实力与精准技术,也为临床处理类似罕见急症提供了宝贵经验,这深刻体现了现代医学“以患者为中心”的救治理念与多学科协作创新的巨大价值。

专家提醒:定期体检是预防关键

李彦锋主任指出,肾错构瘤是常见良性肿瘤,多数生长缓慢、无症状。但若长期不体检,肿瘤可悄然长至巨大体积,一旦破裂将引发致命性大出血。他呼吁,公众应重视年度体检,尤其是泌尿系超声检查,早期发现、早期干预,避免悲剧发生。

科普链接:肾错构瘤是什么?

肾错构瘤(医学名:肾血管平滑肌脂肪瘤)是最常见的肾脏良性肿瘤,由异常血管、平滑肌和脂肪组织构成。多数肿瘤直径小于 4cm,只需定期随访;若超过 4cm 或生长迅速、出现压迫症状、合并破裂出血,则需积极干预。治疗方法包括介入栓塞、肿瘤剜除术、肾部分切除术等,具体方案需结合肿瘤大小、位置及患者肾功能综合评估。定期体检是实现早诊早治的关键。

贵州日报天眼新闻记者 高琴

编辑 涂涌

二审 李劼

三审 周文君

来源:天眼新闻

正文完
 0
评论(没有评论)